Acta Agriculturae Zhejiangensis ›› 2025, Vol. 37 ›› Issue (12): 2545-2553.DOI: 10.3969/j.issn.1004-1524.20241094
• Plant Protection • Previous Articles Next Articles
BAO Mengnan1(
), LI Jinbin1, ZHANG Xian2, YAN Jiahui1,*(
)
Received:2024-12-17
Online:2025-12-25
Published:2026-01-09
Contact:
YAN Jiahui
CLC Number:
BAO Mengnan, LI Jinbin, ZHANG Xian, YAN Jiahui. Identification of Meloidogyne spp. infecting tomato in Haidong City, Qinghai Province, China[J]. Acta Agriculturae Zhejiangensis, 2025, 37(12): 2545-2553.
Add to citation manager EndNote|Ris|BibTeX
URL: http://www.zjnyxb.cn/EN/10.3969/j.issn.1004-1524.20241094
| 目标片段 Target region | 引物名称 Primer name | 序列(5'→3') Sequence(5'→3') | 扩增长度 Amplification size/bp | 退火温度 Annealing temperature/℃ | 退火时间 Annealing time/s |
|---|---|---|---|---|---|
| rDNA ITS | 18S | TTGATTACGTCCCTGCCCTTT | 771 | 55 | 45 |
| 26S | TTTCACTCGCCGTTACTACGG | ||||
| 28S rDNA | D2A | ACAAGTACCGTGAGGGAAAGTTG | 754 | 56 | 45 |
| D3B | TCGGAAGGAACCAGCTACTA | ||||
| SCAR标记 | Far | TCGGCGATAGAGGTAAATGAC | 420 | 61 | 27 |
| SCAR marker | Rar | TCGGCGATAGACACTACAACT |
Table 1 Primers used in this study
| 目标片段 Target region | 引物名称 Primer name | 序列(5'→3') Sequence(5'→3') | 扩增长度 Amplification size/bp | 退火温度 Annealing temperature/℃ | 退火时间 Annealing time/s |
|---|---|---|---|---|---|
| rDNA ITS | 18S | TTGATTACGTCCCTGCCCTTT | 771 | 55 | 45 |
| 26S | TTTCACTCGCCGTTACTACGG | ||||
| 28S rDNA | D2A | ACAAGTACCGTGAGGGAAAGTTG | 754 | 56 | 45 |
| D3B | TCGGAAGGAACCAGCTACTA | ||||
| SCAR标记 | Far | TCGGCGATAGAGGTAAATGAC | 420 | 61 | 27 |
| SCAR marker | Rar | TCGGCGATAGACACTACAACT |
Fig.1 Symptoms of tomato plants infected with root-knot nematodes a, Aboveground symptoms of nutrient deficiency at the early stage of disease; b, Root knots in the root system at the early stage; c, Roots of healthy tomato plant; d, Roots turning brown and rotting at the late stage of disease.
Fig.2 Morphological characteristics of the root-knot nematode population in tomato a, Anterior region of J2; b, Tail region of J2; c, Entire body of J2; d, Female; e, Anterior region of female; f and g, Perineal pattern. Scale bars: a, b, e, f, g=10 μm, c and d=100 μm.
| 样本 Sample | 体长 Body length/μm | 体宽 Body width/μm | 口针长 Stylet length/μm | 背食道腺开口到口 针基部球的距离 Distance from dorsal esophageal gland opening to the stylet knot/μm | 尾长 Tail length/ μm | 体长/体宽 Body length/ Body width | 体长/尾长 Body length/ Tail length | 尾长/肛门 处虫体宽 Tail length/ Anal body diameter | 中食道 球宽 Metacorpus width/μm |
|---|---|---|---|---|---|---|---|---|---|
| 雌虫 Female (n=20) | 571.33± 78.61 (455.51~ 696.03) | 403.45± 59.21 (302.02~ 492.74) | 12.48± 1.50 (10.09~ 14.80) | 3.98±0.57 (3.09~4.98) | — | — | — | — | 30.23± 6.33 (21.48~ 39.42) |
| 二龄幼虫 Second-stage juveniles(J2) (n=20) | 413.53± 32.64 (372.52~ 486.10) | — | 11.33± 1.35 (8.90~ 13.12) | 9.23±2.64 (5.04~14.42) | 31.19± 2.97 (22.50~ 40.38) | 31.30± 2.63 | 16.34± 1.68 | 5.10± 1.03 | — |
Table 2 Morphometric parameters of female and second-stage juveniles (J2) of root-knot nematode population
| 样本 Sample | 体长 Body length/μm | 体宽 Body width/μm | 口针长 Stylet length/μm | 背食道腺开口到口 针基部球的距离 Distance from dorsal esophageal gland opening to the stylet knot/μm | 尾长 Tail length/ μm | 体长/体宽 Body length/ Body width | 体长/尾长 Body length/ Tail length | 尾长/肛门 处虫体宽 Tail length/ Anal body diameter | 中食道 球宽 Metacorpus width/μm |
|---|---|---|---|---|---|---|---|---|---|
| 雌虫 Female (n=20) | 571.33± 78.61 (455.51~ 696.03) | 403.45± 59.21 (302.02~ 492.74) | 12.48± 1.50 (10.09~ 14.80) | 3.98±0.57 (3.09~4.98) | — | — | — | — | 30.23± 6.33 (21.48~ 39.42) |
| 二龄幼虫 Second-stage juveniles(J2) (n=20) | 413.53± 32.64 (372.52~ 486.10) | — | 11.33± 1.35 (8.90~ 13.12) | 9.23±2.64 (5.04~14.42) | 31.19± 2.97 (22.50~ 40.38) | 31.30± 2.63 | 16.34± 1.68 | 5.10± 1.03 | — |
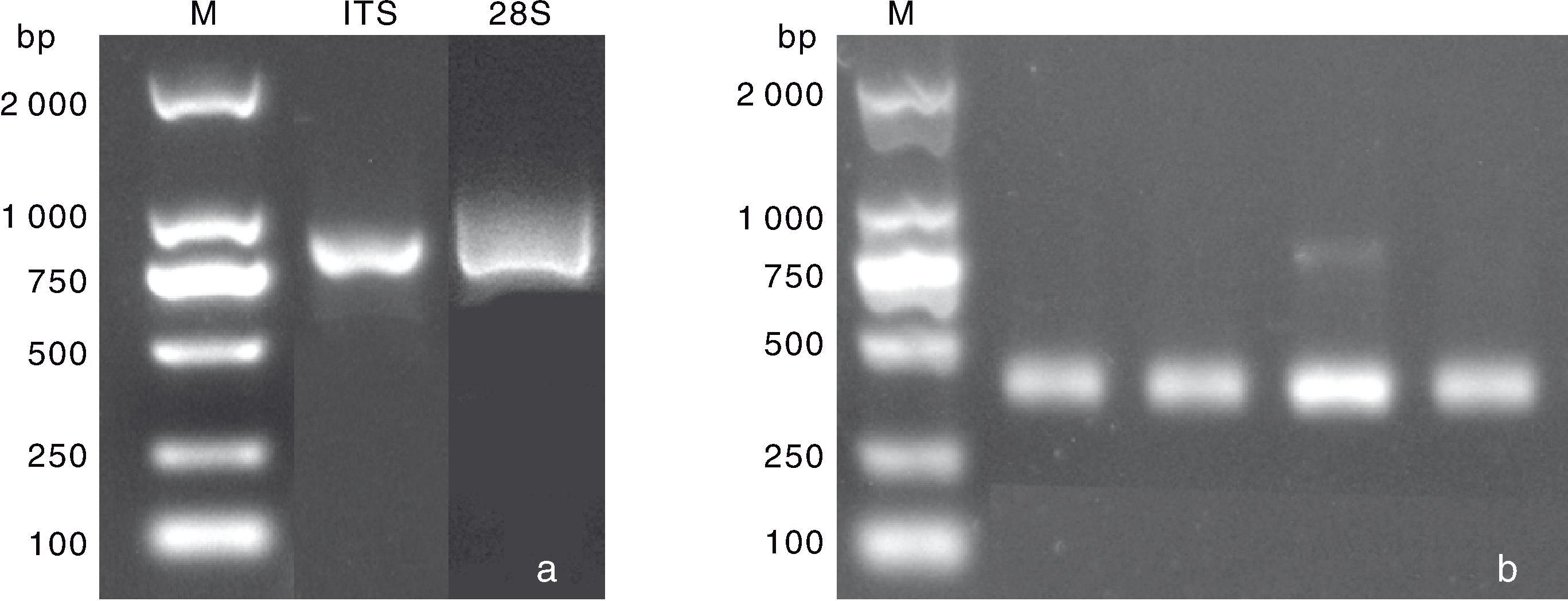
Fig.3 Molecular biological identification results of root-knot nematodes in tomato population a, Amplification of rDNA ITS and 28S rDNA D2/D3 regions in root-knot nematodes; b, Amplification with the M. arenaria-specific SCAR primers Far/Rar.
Fig.6 Root symptoms and staining results of potted tomato plants following root-knot nematode inoculation a, Tomato roots on 40 days post-inoculation; b, Tomato roots on 70 days post-inoculation; c, Roots at late infection stage; d, Roots of healthy plants; e-h, Root staining results.
| [1] | 曹秀伟. 海东市乐都区设施蔬菜发展对策[J]. 中国蔬菜, 2022(4): 110-114. |
| CAO X W. Development countermeasures of protected vegetables in Ledu District of Haidong City[J]. China Vegetables, 2022(4): 110-114. (in Chinese) | |
| [2] | 钟应霞. 青海省设施农业生产经营情况调查与分析[J]. 青海农技推广, 2023(3): 39-40. |
| ZHONG Y X. Investigation and analysis on the production and management of protected agriculture in Qinghai Province[J]. Qinghai Agro-Technology Extension, 2023(3): 39-40. (in Chinese) | |
| [3] | TAPIA-VÁZQUEZ I, MONTOYA-MARTÍNEZ A C, DE LOS SANTOS-VILLALOBOS S, et al. Root-knot nematodes (Meloidogyne spp.) a threat to agriculture in Mexico: biology, current control strategies, and perspectives[J]. World Journal of Microbiology and Biotechnology, 2022, 38(2): 26. |
| [4] | LONG H B, SUN Y F, CHEN Y, et al. Occurrence of root-knot nematode (Meloidogyne spp.) on peppers in Hainan, China, and M. enterolobii and M. incognita resistance of common cultivars[J]. Plant Disease, 2023, 107(10): 3148-3154. |
| [5] | 付博, 王家哲, 李英梅, 等. 陕西猕猴桃根结线虫病综合防控措施[J]. 西北园艺, 2024(4): 36-37. |
| FU B, WANG J Z, LI Y M, et al. Comprehensive control measures of kiwifruit root-knot nematode disease in Shaanxi Province[J]. Northwest Horticulture, 2024(4): 36-37. (in Chinese with English abstract) | |
| [6] | XU C L, ZHAO C B, DING S, et al. First report of root-knot nematode Meloidogyne arenaria infesting roots of Anubias barteri in Guangdong, China[J]. Plant Disease, 2012, 96(5): 773. |
| [7] | CAO Y, LI C B, MA G M, et al. First report of Meloidogyne arenaria infecting maize in Guizhou Province of China[J]. Plant Disease, 2023, 107(10): 3321. |
| [8] | 罗佳, 杭晓宁, 汝学娟, 等. 重庆番茄根结线虫病的病原种类鉴定[J]. 分子植物育种, 2024, 22(2): 512-516. |
| LUO J, HANG X N, RU X J, et al. Identification of pathogen species of root knot nematode on tomato in Chongqing[J]. Molecular Plant Breeding, 2024, 22(2): 512-516. (in Chinese with English abstract) | |
| [9] | 安丽婷, 石明明, 倪春辉, 等. 甘肃省胡萝卜根结线虫病病原鉴定[J]. 西北农业学报, 2024, 33(1): 183-190. |
| AN L T, SHI M M, NI C H, et al. Identification of carrot root-knot nematode pathogen in Gansu Province[J]. Acta Agriculturae Boreali-occidentalis Sinica, 2024, 33(1): 183-190. (in Chinese with English abstract) | |
| [10] | 秦瑞峰, 李春杰, 郭文秀, 等. 山东省临沂地区中草药丹参根结线虫的种类鉴定[J]. 土壤与作物, 2023, 12(2): 161-169. |
| QIN R F, LI C J, GUO W X, et al. Species identification of Chinese herbal medicine Danshen root-knot nematodes in Linyi region, Shandong Province[J]. Soils and Crops, 2023, 12(2): 161-169. (in Chinese with English abstract) | |
| [11] | 魏佩瑶, 潘嵩, 刘晨, 等. 西安市鄠邑区设施西瓜根结线虫种类鉴定及药剂防治研究[J]. 中国农学通报, 2024, 40(1): 83-90. |
| WEI P Y, PAN S, LIU C, et al. Pathogen identification and chemical control techniques against root-knot nematode disease of facility watermelon in Huyi District of Xi’an City[J]. Chinese Agricultural Science Bulletin, 2024, 40(1): 83-90. (in Chinese with English abstract) | |
| [12] | WANG X Z, WANG L F, PIAO C G, et al. First report of root-knot nematode Meloidogyne arenaria on Atractylodis macrocephalae in China[J]. Plant Disease, 2012, 96(10): 1583. |
| [13] | 石明明, 李惠霞, 刘永刚, 等. 甘肃省党参根结线虫病发生、分布及病原种类鉴定[J]. 植物保护, 2022, 48(3): 181-191. |
| SHI M M, LI H X, LIU Y G, et al. Occurrence, distribution and species identification of the root-knot nematode disease of Codonopsis pilosula in Gansu, China[J]. Plant Protection, 2022, 48(3): 181-191. (in Chinese with English abstract) | |
| [14] | 陈京环, 石明明, 乔万强, 等. 甘肃省黄芩根结线虫病病原种类鉴定[J]. 植物保护, 2024, 50(2): 202-210. |
| CHEN J H, SHI M M, QIAO W Q, et al. Identification of pathogens of root-knot nematode disease of Scutellaria baicalensis in Gansu Province[J]. Plant Protection, 2024, 50(2): 202-210. (in Chinese with English abstract) | |
| [15] | 李芳. 玉米根线虫病的发生与防治[J]. 乡村科技, 2019(22): 85-86. |
| LI F. Occurrence and control of maize root nematode disease[J]. Rural Science and Technology, 2019, (22): 85-86. (in Chinese) | |
| [16] | 徐幸, 卓富彦, 杨芳, 等. 中国南方稻田及其周边环境根结线虫种类鉴定[J]. 植物保护, 2023, 49(6): 95-103. |
| XU X, ZHUO F Y, YANG F, et al. Identification of root-knot nematode species from paddy fields and surrounding environment in southern China[J]. Plant Protection, 2023, 49(6): 95-103. (in Chinese with English abstract) | |
| [17] | 赵传波, 郑小玲, 阮兆英, 等. 深圳市蔬菜基地根结线虫的种类和分布[J]. 华中农业大学学报, 2015, 34(2): 41-48. |
| ZHAO C B, ZHENG X L, RUAN Z Y, et al. Identification and population distribution of Meloidogyne species from the vegetable base in Shenzhen City[J]. Journal of Huazhong Agricultural University, 2015, 34(2): 41-48. (in Chinese with English abstract) | |
| [18] | 练冬梅, 赖正锋, 姚运法, 等. 黄秋葵根结线虫病的病原鉴定[J]. 福建农业科技, 2019, 50(3): 40-42. |
| LIAN D M, LAI Z F, YAO Y F, et al. Pathogen identification of root-knot nematode on okra[J]. Fujian Agricultural Science and Technology, 2019, 50(3): 40-42. (in Chinese with English abstract) | |
| [19] | 曹业凡, 汪来发, 王曦茁, 等. 九叶青花椒根结线虫病的病原鉴定[J]. 植物保护, 2019, 45(5): 242-246. |
| CAO Y F, WANG L F, WANG X Z, et al. Identification of root-knot nematode on Zanthoxylum armatum var. novemfolius[J]. Plant Protection, 2019, 45(5): 242-246. (in Chinese with English abstract) | |
| [20] | 宫远福. 东北地区根结线虫的种类分布及南方根结线虫氯离子通道基因分析[D]. 沈阳: 沈阳农业大学, 2020. |
| GONG Y F. Species distribution of root-knot nematodes in northeast China and analysis of chloride channel genes in Meloidogyne incognita[D]. Shenyang: Shenyang Agricultural University, 2020. (in Chinese with English abstract) | |
| [21] | 王兴松, 李恩星, 杨诗瀚, 等. 根结线虫病对烟草植株根际土壤微生物群落及其功能的影响[J]. 江苏农业学报, 2024, 40(6): 993-1003. |
| WANG X S, LI E X, YANG S H, et al. Effects of root-knot nematode disease on microbial community and function in rhizosphere soil of tobacco plants[J]. Jiangsu Journal of Agricultural Sciences, 2024, 40(6): 993-1003. (in Chinese with English abstract) | |
| [22] | 陈立杰, 魏峰, 段玉玺, 等. 温湿度对南方根结线虫卵孵化和二龄幼虫的影响[J]. 植物保护, 2009, 35(2): 48-52. |
| CHEN L J, WEI F, DUAN Y X, et al. Effects of temperature and moisture on egg hatching and the second instars of Meloidogyne incognita[J]. Plant Protection, 2009, 35(2): 48-52. (in Chinese with English abstract) | |
| [23] | 刘丽, 颜世翠, 姚良同, 等. 一种番茄根结线虫人工培养和保存的优化方法[J]. 山东农业科学, 2012, 44(11): 117-120. |
| LIU L, YAN S C, YAO L T, et al. An optimized artificial culture and preservation method for tomato root-knot nematodes[J]. Shandong Agricultural Sciences, 2012, 44(11): 117-120. (in Chinese with English abstract) | |
| [24] | 钟雪超. 土壤线虫的分离方法[J]. 环境, 2012(S1): 147,149. |
| ZHONG X C. Isolation method of soil nematodes[J]. Environment, 2012(S1): 147,149. (in Chinese) | |
| [25] | 段玉玺. 植物线虫学[M]. 北京: 科学出版社, 2011: 95-146. |
| [26] | 张绍升. 植物线虫病害诊断与治理[M]. 福州: 福建科学技术出版社, 1999: 84-88. |
| [27] | 谢辉. 植物线虫分类学[M]. 2版. 北京: 高等教育出版社, 2005: 243-247. |
| [28] | 陶冶. 南方果蔬根结线虫鉴定及其基于线粒体基因组系统发育分析[D]. 广州: 华南农业大学, 2018. |
| TAO Y. Identification of root-knot nematodes parasitizing vegetables and fruits in Southern China and phylogenetic analysis based on their mitochondrial genomes[D]. Guangzhou: South China Agricultural University, 2018. (in Chinese with English abstract) | |
| [29] | 王炳太. 植物根结线虫病发生规律分析[J]. 现代农业科技, 2016(22): 122-123. |
| WANG B T. Analysis on occurrence regularity of plant root-knot nematodes[J]. Modern Agricultural Science and Technology, 2016(22): 122-123. (in Chinese with English abstract) | |
| [30] | 崔爱华, 袁升凯, 冷鹏, 等. 设施甜瓜根结线虫病的发生规律与综合防控技术[J]. 中国瓜菜, 2020, 33(1): 82-83. |
| CUI A H, YUAN S K, LENG P, et al. Occurrence regularity and comprehensive prevention and control technology of facility Meloidogyne incognita chitwood[J]. China Cucurbits and Vegetables, 2020, 33(1): 82-83. (in Chinese) | |
| [31] | 尤作将, 王萍. 花生根结线虫病综合防治技术[J]. 现代农村科技, 2022(9): 41. |
| YOU Z J, WANG P. Integrated control techniques of peanut root-knot nematode disease[J]. Modern Rural Science and Technology, 2022(9): 41. (in Chinese) | |
| [32] | 雷敬超, 黄惠琴. 南方根结线虫生物防治研究进展[J]. 中国生物防治, 2007(S1): 76-81. |
| LEI J C, HUANG H Q. Research advance on biological control of the Meloidogyne incognita[J]. Chinese Journal of Biological Control, 2007(S1): 76-81. (in Chinese with English abstract) | |
| [33] | 李星星, 尚嘉彦, 袁海琪, 等. 不同药剂对南方根结线虫的室内生物活性测定[J]. 农业灾害研究, 2023, 13(8): 31-33. |
| LI X X, SHANG J Y, YUAN H Q, et al. Laboratory bioactivity determination of Meloidogyne incognita with different nematicides[J]. Journal of Agricultural Catastrophology, 2023, 13(8): 31-33. (in Chinese with English abstract) | |
| [34] | 鲁毅, 张毅, 周玲. 10.5%阿维菌素·噻唑膦颗粒剂防治黄瓜根结线虫病田间药效试验[J]. 陕西农业科学, 2018, 64(5): 34-36. |
| LU Y, ZHANG Y, ZHOU L. Field efficacy experiment on 10.5% avermectins·fosthiazate particle against root-knot nematode in cucumber[J]. Shaanxi Journal of Agricultural Sciences, 2018, 64(5): 34-36. (in Chinese with English abstract) |
| [1] | XIANG Ying, CONG Jianmin, PAN Danhong, TAO Yonggang. Comprehensive evaluation of the growth process of different tomato varieties under spring organic greenhouse planting [J]. Acta Agriculturae Zhejiangensis, 2025, 37(6): 1252-1261. |
| [2] | LIU Pengfei, ZHANG Shuhan, HONG Kai, SHAO Yue, LOU Binggan. Isolation and identification of the pathogen causing tomato canker in Zhejiang Province of China [J]. Acta Agriculturae Zhejiangensis, 2025, 37(6): 1293-1300. |
| [3] | MA Xian, YOU Yuwei, KANG Juan, WANG Guoqin, ZHENG Rui, SU Jianyu, YUE Sijun. Pathogen identification of post-harvest rotten Lycium barbarum and screening of natural fungicides [J]. Acta Agriculturae Zhejiangensis, 2025, 37(6): 1327-1335. |
| [4] | JI Mengting, CHEN Changjiang, ZHU Ling, ZHAN Menglin, XIAO Shun, CAI Xueqing. Identification of etiological bacterium causing leaf spot disease on Ficus carica [J]. Acta Agriculturae Zhejiangensis, 2025, 37(5): 1097-1106. |
| [5] | DI Yancui, JI Zelin, WANG Yuanyuan, LOU Shihao, ZHANG Tao, GUO Zhixin, SHEN Shunshan, PIAO Fengzhi, DU Nanshan, DONG Xiaoxing, DONG Han. Identification, subcellular localization and expression analysis of tomato SlMYB52 gene [J]. Acta Agriculturae Zhejiangensis, 2025, 37(4): 808-819. |
| [6] | GONG Xinxin, LIU Ruiling, HAN Yanchao, MENG Xianghong, GAO Haiyan, CHEN Hangjun. Isolation and identification of main postharvest pathogens of four edible fungi [J]. Acta Agriculturae Zhejiangensis, 2025, 37(2): 456-465. |
| [7] | DING Yingying, YANG Linping, YANG Qing, ZHANG Zichen, CAI Linying, YANG Kang, LI Chen, LIU Huiwen, BAO Guangbin, WANG Qing, WANG Guijun. Isolation, identification and pathogenicity of two novel goose astrovirus strains [J]. Acta Agriculturae Zhejiangensis, 2025, 37(12): 2458-2467. |
| [8] | XIAO Yumiao, MA Qiaomei, ZHANG Sifa, HE Yong, ZHAO Zhenqing. Effects of fish protein hydrolysate on the growth and photosynthetic characteristics of tomato seedlings [J]. Acta Agriculturae Zhejiangensis, 2025, 37(12): 2504-2515. |
| [9] | YAN Peiyu, ZHANG Shengyin, CHEN Liang, LIU Bin. Effects of water-fertilizer coupling on growth, yield and quality of tomato cultivated in facility [J]. Acta Agriculturae Zhejiangensis, 2025, 37(12): 2516-2524. |
| [10] | XIE Yujia, LI Zhenjiang, SHA Feiyu, ZHANG Lin, TONG Yana, QIAO Changsheng, CAO Weifeng. Isolation, screening, and functional characteristics of endophytes from strawberry [J]. Acta Agriculturae Zhejiangensis, 2025, 37(12): 2525-2534. |
| [11] | WANG Tonglin, SHAO Zhiyong, NIE Zhixing, GUO Saisai, LIU Lihong, WANG Qiaomei, ZHENG Jirong. Construction of a quality evaluation system for fresh-eating tomatoes based on Delphi method and analytic hierarchy process [J]. Acta Agriculturae Zhejiangensis, 2025, 37(12): 2583-2592. |
| [12] | LI Tengfei, YANG Guiling, RUAN Meiying, CHU Tianfen, QIN Hua, DENG Meihua. Effects of fertilizer and pesticide managements on soil health and tomato qualities in greenhouse tomato cultivation [J]. Acta Agriculturae Zhejiangensis, 2025, 37(1): 145-158. |
| [13] | GU Rui, SONG Cuiling, QIAN Chunhua. A lightweight tomato leaf disease recognition model integrating a sandglass structure with improved coordinate attention [J]. Acta Agriculturae Zhejiangensis, 2025, 37(1): 217-230. |
| [14] | LI Yani, CHEN Weiliang, MAO Bizeng. Pathogen identification of root rot of Curcuma wenyujin [J]. Acta Agriculturae Zhejiangensis, 2024, 36(5): 1086-1093. |
| [15] | YANG Lei, WANG Xiaofu, WEI Wei, CHEN Xiaoyun, PENG Cheng, XU Xiaoli, XU Junfeng. The antifungal responses of insects against an entomopathogenic fungi, Beauveria bassiana and their application potential in pest control [J]. Acta Agriculturae Zhejiangensis, 2024, 36(4): 825-836. |
| Viewed | ||||||
|
Full text |
|
|||||
|
Abstract |
|
|||||